Bệnh gai gót chân là gì? Cách điều trị dứt điểm bệnh gai gót chân
Bệnh gai gót chân hay bệnh gai xương gót chân là một bệnh lý phổ biến về cơ xương khớp hay gặp. Bệnh thường gây tổn thương gót chân và làm ảnh hưởng đến chức năng vận động của người bệnh. Để hiểu rõ hơn về tình trạng của bệnh lý này, bài viết dưới đây sẽ cung cấp các thông tin liên quan đến bệnh gai xương gót chân cũng như phương pháp điều trị bệnh.
Bệnh gai gót chân là gì?
Gai gót chân là kết quả của sự lắng đọng canxi trong mô mềm nằm dưới gót chân gây ra tình trạng viêm nhiễm và đau đớn cho người bệnh. Gót chân là bộ phận chịu áp lực lớn trọng lượng cơ thể và rất hay bị tổn thương nên thường dẫn đến triệu chứng viêm đau. Khi tín hiệu viêm xảy ra, cơ thể người bệnh sẽ phản xạ bằng cách thúc đẩy khả năng tân tạo các xương và gai nhọn nhô lên từ rìa khớp.
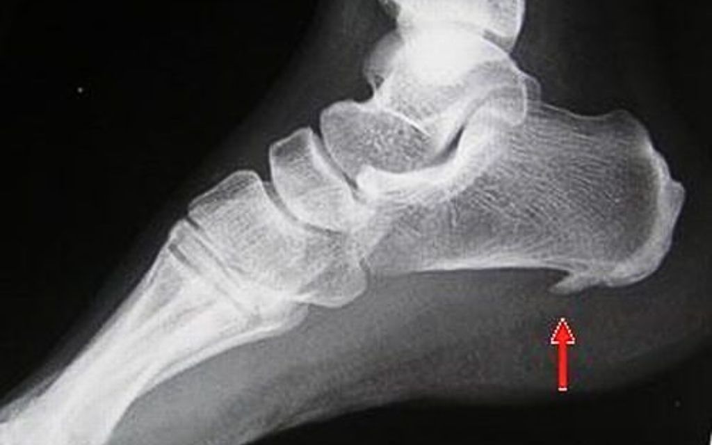
Để chuẩn đoán bệnh chính xác, người bệnh sẽ được kiểm tra và chụp X - quang theo sự chỉ định của bác sĩ điều trị. Nhìn vào phim X - quang dưới đây, bệnh gai xương gót chân là một cái gai xương nhỏ nhô ra đang hướng vào bên trong vòm bàn chân.
Gai xương này sẽ làm ảnh hưởng đến cuộc sống sinh hoạt và việc đi lại của người bệnh khó khăn hơn.
Nguyên nhân dẫn đến gai gót chân
Gai xương gót chân có thể xuất phát từ nhiều nguyên nhân khác nhau. Dưới đây là các nguyên nhân phổ biến gây bệnh:
- Áp lực quá mức lên ngoại hình: Hoạt động hàng ngày như đứng lâu, đi lại nhiều, chạy, nhảy hoặc thậm chí tăng cân nặng đột nhiên có thể tạo ra áp lực quá mức lên ngoại hình gai, gây ra bệnh nhiễm trùng và tổn thương.
- Căng cơ: Nếu các cơ trong bàn chân chẳng hạn như cơ bắp chân trở nên căng cứng và không linh hoạt thì có thể gây kéo căng dây chằng bàn chân tạo ra áp lực và gây tổn thương.
- Mang giày không hợp lý: Sử dụng giày không hỗ trợ đúng cách, đặc biệt là giày có đế bệt hoặc không cung cấp đệm đàn hồi có thể làm tăng nguy cơ bệnh tật ở chân.
- Thay đổi hoạt động thường ngày: Một sự thay đổi trong hoạt động thường ngày như tăng cường vận động, thay đổi loại sàn nhà mà bạn đứng hoặc đi trên đó có thể gây ra áp lực mới lên gai xương và gây bệnh.
- Tuổi tác: Bệnh gai chân thường phổ biến ở người trưởng thành và người cao tuổi.
- Chấn thương: Một chấn thương gần khu vực gót chân có thể gây ra viêm nhiễm và dẫn đến gai gót chân.
- Dấu hiệu viêm nhiễm khác: Một số bệnh dẫn đến viêm nhiễm trong cơ thể chẳng hạn như bệnh thấp khớp, bệnh dạ dày tá tràng có thể tạo điều kiện cho sự phát triển của bệnh.
Việc xác định nguyên nhân cụ thể dẫn đến bệnh gai gót chân có thể yêu cầu khám bác sĩ hoặc chuyên gia y tế để đảm bảo đánh giá chính xác và lấy thông tin chi tiết về tình trạng của bạn.
Triệu chứng của bệnh gai gót chân
Gai xương gót chân có thể gây ra ở một chân hay cả hai chân và thường không gây triệu chứng rõ rệt. Dưới đây là các triệu chứng thường gặp bao gồm:
- Đau gót chân khi người bệnh đứng dậy vào buổi sáng;
- Đau âm ỉ tại gót chân suốt cả ngày;
- Viêm và sưng ở phía trước gót chân;
- Nhiệt tỏa ra từ khu vực bị ảnh hưởng;
- Phần nhô ra như cái xương nhỏ, có thể nhìn thấy được dưới gót chân;
- Điểm đau ở dưới gót chân khiến người bệnh khó đi chân trần.
Nếu gặp những triệu chứng trên, bác sĩ có thể dùng phương pháp chẩn đoán chụp X - quang bàn chân để xác định bệnh. Không phải ai bị gai gót chân cũng sẽ gặp tất cả các triệu chứng này. Một số người bị gai gót chân có thể không gặp bất kỳ triệu chứng nào. Do vậy, người bệnh nên kiểm tra sức khỏe định kỳ thường xuyên để được bác sĩ chẩn đoán bệnh sớm nhất.
Cách điều trị gai xương gót chân
Cách chữa gai gót chân dứt điểm như thế nào? Bệnh gai xương gót chân là bệnh lý nguy hiểm nhưng có thể chữa khỏi nếu tuân thủ theo đúng chỉ định của bác sĩ điều trị. Sau đây là các phương pháp hay sử dụng để điều trị bệnh:
- Sử dụng thuốc: Một số thuốc giảm đau, kháng viêm được chỉ định bởi bác sĩ điều trị để làm giảm triệu chứng cho người bệnh. Một số thuốc được dùng trong điều trị bệnh bao gồm: Aspirin, Ibuprofen, Acetaminophen, Celecoxib, Naproxen... Hơn nữa, trong các trường hợp bệnh nặng hơn bác sĩ có thể tư vấn người bệnh nên tiêm Corticoid vào khu vực bị viêm.
- Điều trị phẫu thuật: Hầu hết người bệnh sẽ không cần phải phẫu thuật. Phương pháp này được chỉ định khi tình trạng đau kéo dài và phương pháp nội khoa không thành công. Khi phẫu thuật, người bệnh sẽ bị cắt lọc mô viêm và kết hợp khâu lại tại điểm bám gân gót. Tuy nhiên, cách trị gai gót chân này tiềm ẩn nhiều nguy cơ và dễ gây biến chứng như nhiễm trùng, tê vùng vĩnh viễn, đau tái phát, đau dây thần kinh và để lại sẹo. Người bệnh nên nghỉ ngơi và chườm đá sau khi phẫu thuật để phục hồi chức năng vận động tốt hơn.
- Tập vật lý trị liệu: Có thể sử dụng phương pháp siêu âm điều trị, sóng ngắn, hồng ngoại hay bài tập cho người bệnh gai gót chân. Đồng thời, người bệnh nên chườm đá lên khu vực gót chân mỗi ngày để giảm tình trạng đau.
- Chế độ sinh hoạt: Nên mang giày kích cỡ vừa với chân và đế giày không được quá cứng hay quá mềm. Đồng thời nghỉ ngơi, không mang vác nặng, tránh đứng lâu và đi lại khi đang gặp tình trạng đau nhiều dưới gót chân. Lưu ý trước khi chơi thể thao cần khởi động kỹ bàn chân và cổ chân.
Do vậy, khi điều trị bệnh gai xương gót chân người bệnh nên giữ cơ thể thư giãn và thoải mái bàn chân. Người bệnh nên tránh hoạt động di chuyển nhiều do làm ảnh hưởng đến tình trạng phục hồi bệnh.
Ngoài ra, hãy đảm bảo giữ vệ sinh chân tốt, thay tất và hạn chế việc đi lại những nơi ẩm ướt, bẩn để tránh lây nhiễm bệnh. Trường hợp nghiêm trọng, cần tìm sự tư vấn của bác sĩ để được chẩn đoán chính xác và điều trị theo phác đồ y tế.
Hy vọng qua bài viết trên đã cung cấp cho bạn đọc thông tin bệnh gai gót chân là gì cũng như cách điều trị dứt điểm của bệnh. Gai gót chân có thể thành bệnh mãn tính nếu không phát hiện sớm và điều trị kịp thời. Vậy nên, khi thấy cảm giác đau gót chân bạn nên đến gặp bác sĩ thăm khám và lựa chọn phương pháp điều trị phù hợp. Hãy tiếp tục đón xem những bài viết mới với chủ đề phong phú của Nhà thuốc Long Châu nhé!


















